Usluge
Vrste snimanja i usluge
2D SNIMCI
2D snimci se automatski po snimanju postavljaju na OrtoCloud server i trenutno su dostupni svim doktorima i pacijentima.
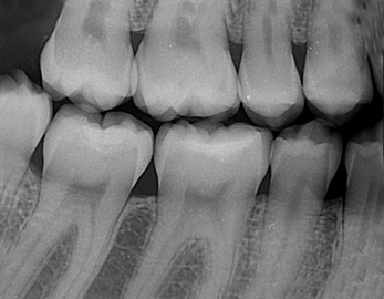
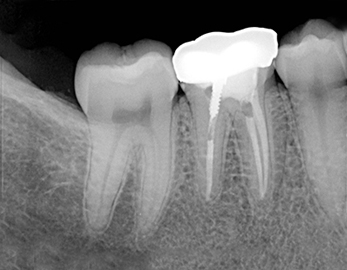
Retroalveolarni snimak / Retrokoronarni snimak
Retroalveolarni snimak, dentalni radiogram, mali snimak zuba, dentalni snimak pojedinačnih zuba na kome se u zavisnosti od situacije u ustima pacijenta može videti najviše tri zuba. Stomatolog koristi ovaj snimak da bi video patološke promene na odredjenom zubu ili kao kontrolni snimak u toku ili po završetku lečenja zuba.
Retrokoronarni snimak je takodje dentalni radiogram koji se koristi za dijagnostiku karijesa i procenu stanja parodoncijuma izmedju zuba. Na njemu se vide krunice gornjih i donjih zuba, medjuzubni prostori u bočnoj regiji i rade se kao kontrolni snimci pri periodičnim kontrolnim pregledima.
Ortopantomogram
Skraćeno nazvan ortopan, panoramski snimak je najčešće traženi snimak od strane stomatologa. To je snimak na kome se vide svi zubi, kost gornje i donje vilice, donji delovi gornjoviličnih sinusa i vilični zglobovi, tako da Vaš stomatolog može da ima kompletan uvid u stanje svih zuba i vilica. Stomatolog će najverovatnije tražiti ovaj snimak pri prvoj poseti ili pri kontrolnim pregledima obično na svake dve godine.
Lateralni kefalogram
Telerendgen ili profilni snimak koji se najčešće koristi pri postavljanju ortodontske dijagnoze i pravljenju plana terapije, ali i kao kontrolni snimak u toku i po završetku ortodontskog tretmana. Na njemu se vidi koštani profil glave i konture mekih tkiva profila lica.Na ovom snimku ortodonti rade kefalometrijska merenja (kefalometriju), a na osnovu njih i različite analize (kefalometrijske analize).

PA kefalogram
Postero-anteriorni snimak glave ili Caldwell-ova projekcija je takodje snimak koji se najčešće radi za potrebe postavljanja ortodontske dijagnoze i plana terapije kod pacijenata sa asimetrijama lica. Na ovom snimku ortodonti rade kefalometrijska merenja, a na osnovu njih i različite analize koje im pomažu u postavljanju dijagnoze i pravljenju plana terapije.


Snimak paranazalnih šupljina
Snimak sinusa ili Waters-ova projekcija na kome stomatolog ili otorinolaringolog mogu da vide sinuse povezane sa nosnom šupljinom i to gornjovilične, čeone, etmoidne i sfenoidne.
Snimak TM zglobova
Snimak temporomandibularnih zglobova, viličnih zglobova na kome se vide oba zgloba i to pri zatvorenim i otvorenim ustima.

Tomografije za implantologiju
Tomografije za implantologiju su dvodimenzioni preseci, trodimenzionalnog snimka vilice na kome je na tačno odredjenom mestu naručenom od strane stomatologa, izmerena vilična kost i to njena širina, visina i udaljenost od važnih anatomskih struktura da bi stomatologu omogućio sve potrebne informacije za ugradnju implantata.
3D SNIMANJA
3D snimanja se izdaju pacijentima na cd-u i podižu na OrtoCloud server na kome su 15 dana dostupni doktorima i pacijentima. Može im se pristupiti samo pomoću računara.
3D snimanja Vašem stomatologu daju najprecizniju moguću sliku izabrane regije zahvaljujući najmodernijoj tehnologiji u kojoj na osnovu informacija snimljenih u jednoj regiji stomatolog može da izabere nebrojeni broj preseka u bilo kojoj ravni i preciznije i jasnije vidi deo od interesa za postavljanje tačne dijagnoze i plana terapije.
Ovo snimanje se radi u različitim veličinama polja i to:
malo – koje obuhvata frontalni deo ili jednu stranu gornje ili donje vilice
srednje – koje obuhvata celu gornju ili donju vilicu
veliko – koje obuhvata celu gornju i donju vilicu
KEFALOMETRIJSKE ANALIZE
Kefalometrijske analize se podižu na OrtoCloud server u 48 časova od snimanja (najčešće u istom danu)






